| 일 | 월 | 화 | 수 | 목 | 금 | 토 |
|---|---|---|---|---|---|---|
| 1 | 2 | 3 | 4 | |||
| 5 | 6 | 7 | 8 | 9 | 10 | 11 |
| 12 | 13 | 14 | 15 | 16 | 17 | 18 |
| 19 | 20 | 21 | 22 | 23 | 24 | 25 |
| 26 | 27 | 28 | 29 | 30 |
- 미토콘드리아 활성화 치료
- 고정밀방사선치료
- 일본 암 치유 연구소
- 암면역세포치료
- 콜로이드 요오드 치료
- 암극복솔루션
- 암 완치 통합 치료
- 일본 면역세포 치료
- iNKT 세포 표적 치료
- 면역세포치료
- 고정밀 방사선 토모 테라피 & 뷰레이 치료
- 암과미토콘드리아
- 암 면역치료
- 일본암치유연구소
- 암대체요법
- 일본면역세포치료
- 암면역치료
- 도쿄씨사이드클리닉
- 미토콘드리아활성화치료
- NKT세포치료
- 일본면역세포치료 일본중입자치료
- 일본 선진 암 치료
- 암을이겨내는방법
- 일본선진암치료
- 도쿄 에도가와 병원
- 고활성 NK 면역 세포 치료
- 복막전이
- 중입자 치료
- ank 면역세포치료
- 일본암치료
- Today
- Total
일본 현지에서 암 전문가가 알려주는 최신 암 치료 정보
다발성 간전이 위암 4기, 단 3개월만에 대부분이 소실된 실제 사례 본문
위암 4기(Stage IV) 다발성 간전이
이 진단을 받는 순간,
대부분의 환자와 가족은 “더 이상 방법이 없다”는 말을 듣게 됩니다.
특히 간에 30곳 이상 전이가 확인된 경우라면,
표준 항암치료조차 반응을 기대하기 어려운 상황으로 분류됩니다.
하지만 일본에서는
이러한 말기 위암 환자에게도 전혀 다른 결과를 만들어낸 사례들이 실제로 존재합니다.

위암 4기 다발성 간전이 실제 사례
이번에 소개해 드릴 사례는
위암 + 다발성 간전이(Stage IV) 환자의 변화입니다.
※ 진단 당시
- 간 전체에 30개 이상 전이 병변
- 가장 큰 병변도 명확하게 관찰
- 수술·국소치료 불가능 판정
※ 선택한 치료
- αGalcer 수지상세포 백신 치료
- NKT 3종 복합 면역세포 치료
- 소량의 면역 항암제(옵디보 + 여보이) 병용

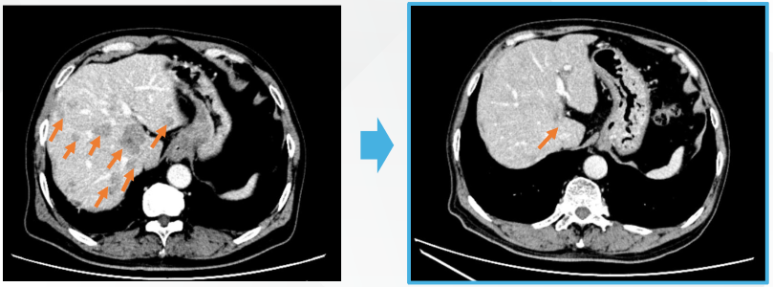
복합 면역세포치료 1사이클 후 변화
놀라운 치료 결과입니다.
※ 복합 면역세포치료 1사이클(7회) 후 CT 결과
- 간에 보이던 대부분의 전이 병변이 소실
- 최대 직경이었던 전이 병변도 뚜렷한 축소
- 영상상 명확한 종양 신호 감소 확인
이는 단순한 “안정화” 수준이 아니라,
종양 자체가 면역 반응에 의해 제거된 전형적인 패턴에 해당합니다.

왜 이런 결과가 가능했을까?
핵심은 ‘면역의 방향성’입니다.
- αGalcer 백신 → 암세포를 정확히 인식하도록 면역 시스템을 교육
- NKT 3종 복합 면역세포 → 공격력이 높은 3종의 면역 세포를 동시 투
- 소량의 면역 항암제(옵디보 + 여보이) 병용 요법
이 세 가지가 동시에 작동하면서
“내 몸의 면역이 암을 제대로 인식하고, 끝까지 제거하는 구조”가 만들어진 것입니다.

이 사례가 말해주는 중요한 메시지
위암 4기, 다발성 간전이라고 해서
무조건 ‘연명 치료’만 남은 것은 아닙니다.
특히
- 항암제 효과가 없었던 경우
- 체력 저하로 표준치료가 어려운 경우
- 삶의 질(QOL)을 지키며 치료를 원하시는 경우
일본 복합 면역세포치료는 가장 강력한 치료 선택지입니다.

암은 이제 큰 고통없이도 치료될 수 있는 병입니다.
고통스러운 암 치료가 여러분의 몸을 더 악화시킵니다.
만약 암 치료로 인해 고민하고 계신다면,
일본 암 치유 연구소의 암 치료 최고 전문가와 상담하여
일본 현지의 선진 암 치료 컨설팅을 의뢰해 보시기를 권장합니다.
일본 암 치유 연구소 상담 안내
🔹 일본 본사 직통 상담 : 📞 070-8064-4553
🔹 카카오톡 상담 🟡 ID : chobobyul
최신 일본 암 치료법과 맞춤형 솔루션으로 여러분의 암 극복을 도와드리겠습니다.
지금 바로 상담을 받아보세요!

'암 극복 사례' 카테고리의 다른 글
| 간, 폐, 복막에 전이된 말기 난소암·자궁체암 4기 극적인 호전 사례 (0) | 2026.02.09 |
|---|---|
| 난소암 복막전이 환자 사례|RIKEN-NKT 면역치료의 실제 효과 (0) | 2026.01.29 |
| 폐·간·복막 전이 난소암 환자: ANK 면역세포치료로 10년간 생존의 기적 같은 이야기 (1) | 2026.01.21 |
| 목소리와 일상을 되찾은 후두암 3기 극복 사례 (1) | 2026.01.14 |
| 복강내 화학요법 실제 완치 사례: 복막 전이 난소암도 극복 가능! (0) | 2025.12.30 |
