| 일 | 월 | 화 | 수 | 목 | 금 | 토 |
|---|---|---|---|---|---|---|
| 1 | 2 | 3 | 4 | |||
| 5 | 6 | 7 | 8 | 9 | 10 | 11 |
| 12 | 13 | 14 | 15 | 16 | 17 | 18 |
| 19 | 20 | 21 | 22 | 23 | 24 | 25 |
| 26 | 27 | 28 | 29 | 30 |
- 암과미토콘드리아
- 콜로이드 요오드 치료
- iNKT 세포 표적 치료
- 암대체요법
- 암 면역치료
- 미토콘드리아활성화치료
- 일본암치료
- 암 완치 통합 치료
- 면역세포치료
- 암면역세포치료
- 고정밀방사선치료
- ank 면역세포치료
- NKT세포치료
- 일본 암 치유 연구소
- 도쿄 에도가와 병원
- 일본암치유연구소
- 고활성 NK 면역 세포 치료
- 일본면역세포치료
- 미토콘드리아 활성화 치료
- 복막전이
- 일본 선진 암 치료
- 일본 면역세포 치료
- 고정밀 방사선 토모 테라피 & 뷰레이 치료
- 일본면역세포치료 일본중입자치료
- 도쿄씨사이드클리닉
- 암면역치료
- 중입자 치료
- 암극복솔루션
- 일본선진암치료
- 암을이겨내는방법
- Today
- Total
일본 현지에서 암 전문가가 알려주는 최신 암 치료 정보
“더 이상은 방법이 없습니다” 절망에서 완전관해까지|십이지장암 복막전이 환자 사례 본문
“암이 복막까지 퍼져있어, 항암제가 더 이상 효과가 없습니다.”
주치의에게 이런 말을 들은 환자와 가족이 느낄 절망은 상상하기조차 어렵습니다.
그러나 여기, 표준 치료가 무력했던 상황에서도
암이 완전히 사라지는 기적 같은 결과를 이끌어낸 사례가 있습니다.

항암치료 중단, 그리고 권유받은 호스피스
환자는 십이지장암 복막전이(Stage IV) 판정을 받고 항암치료를 이어갔지만,
암은 빠르게 진행했습니다.
통증은 악화되었고,
결국 병원에서는 항암제를 중단하고 호스피스를 권유할 수밖에 없었습니다.
그 당시 환자의 상태는 매우 위중했습니다.
- 극심한 복통과 구토로 식사 불가능
- 장 폐색 및 담도 폐쇄 발생
- 휠체어 없이는 거동도 불가
“이제 더 이상 방법이 없다”는 냉혹한 현실 앞에서,
환자와 가족은 새로운 길을 찾아야만 했습니다.

새로운 선택: 암 복합 면역세포치료
절망적인 상황에서 환자가 선택한 것은 암 복합 면역세포치료였습니다.
구체적인 치료 내용은 다음과 같았습니다.
- α-GalCer + WT1 수지상세포 백신 치료
- NKT + NK 세포 요법
- 저용량의의 면역항암제(옵디보 + 여보이) 병용
이 치료의 핵심은
환자의 면역세포를 직접 활성화하여 암세포를 인식하고 공격하도록 만드는 것입니다.
기존 항암제와는 달리 부작용이 거의 없고,
전신의 면역력을 회복시키는 치료라는 점에서 환자에게 큰 희망이 되었습니다.

치료 결과: 암의 완전 소멸
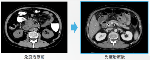
치료 시작 전 CT에서는 복막에 퍼져 있던 종양이 뚜렷하게 보였습니다.
하지만 불과 몇 달 후,
재촬영한 CT에서는 암 병변이 완전히 사라진 것이 확인되었습니다.
의료진의 말 그대로, “종양이 사라졌다(완전 관해 CR)”는 결과였습니다.
또한 종양 마커 CA19-9 수치에서도 극적인 변화가 나타났습니다.
- 2월 말: 3,100 이상
- 6월 말: 30 이하 (정상 범위로 회복)
영상과 수치 모두가 치료 효과를 입증해준 순간이었습니다.

물론 모든 환자에게 동일한 결과를 약속할 수는 없습니다.
그러나 이번 사례는 분명히 말해줍니다.
기존 치료가 더 이상 효과를 내지 못할 때도,
암 복합 면역세포치료라는 또 다른 선택지가 존재한다는 사실을.
암이라는 벽 앞에서 절망을 느끼고 있는 분들께,
이 사례가 작은 희망의 불씨가 되기를 바랍니다.
“수술도, 항암제도 아닌 방법으로 암이 사라질 수 있다.”
이 메시지가 누군가에게 새로운 용기를 줄 수 있기를 진심으로 바랍니다.

암은 이제 치료될 수 있는 병입니다.
만약 암 치료로 인해 고민하고 계신다면,
일본 암 치유 연구소의 암 치료 최고 전문가와 상담하여
일본 현지의 선진 암 치료 컨설팅을 의뢰해 보시기를 권장합니다.
일본 암 치유 연구소 상담 안내
🔹 일본 본사 직통 상담 : 📞 070-8064-4553
🔹 카카오톡 상담 🟡 ID : chobobyul
최신 일본 암 치료법과 맞춤형 솔루션으로 여러분의 암 극복을 도와드리겠습니다.
지금 바로 상담을 받아보세요!

'암 극복 사례' 카테고리의 다른 글
| 항암제 내성 췌장암 4기, ANK 면역세포치료로 3개월 만에 간전이 병소가 줄어든 환자 사례 (0) | 2025.11.06 |
|---|---|
| 유방암 폐·뼈 전이 Stage4… 단 3개월 만에 통증 소실, 종양 축소된 일본 면역치료 사례 (0) | 2025.11.03 |
| 췌장암 4기 폐전이, 복막파종까지 사라졌다 – 암 복합면역치료의 놀라운 결과 (0) | 2025.10.21 |
| 항암제도 듣지 않던 복막전이 스킬스 위암… iNKT 면역치료로 회복한 실제 사례 (0) | 2025.10.01 |
| 간·폐 전이 자궁경부암 Stage IV, 일본 복합 면역치료로 종양이 사라진 실제 이야기 (0) | 2025.09.15 |